(声明:本文只用于科普用途,为了保护患者隐私,以下内容里的相关信息已进行处理)
摘要:一名54岁的男性患者因体检发现肝脏有巨大囊肿来院就诊,诊断为肝囊肿,经手术治疗后患者病情好转,各项指标正常,予以带药出院。嘱咐患者注意休息,饮食清淡且富有营养,保持良好生活习惯,遵循医嘱定时复诊,并注意自身健康状况,发生不适时及时就诊。
【基本信息】男,54岁
【疾病类型】肝囊肿
【就诊医院】中国医科大学附属第一医院
【就诊时间】2021年5月
【治疗方案】腹腔镜下肝囊肿开窗引流术,头孢唑林预防感染,雷贝拉唑预防术后胃出血
【治疗周期】14天
【治疗效果】手术顺利,术后无发热、腹痛、腹胀,顺利出院
一、初次面诊
一位54岁的男性患者来到我们诊室就诊。据患者描述,自己五年前在定期体检中,腹部B超发现有肝脏囊肿,但患者当时没有腹痛、腹胀,也没有皮肤眼睛发黄、恶心、呕吐、发热等情况,因此未予以重视,没有做任何治疗。大约一个月前,患者在复查彩超时,提示肝脏多发囊肿,最大的有11.4*7.6厘米。为了进一步检查与治疗治疗,患者来到我院就诊。另外,患者有高血压,最高曾达到高压160mmHg,平时每天口服富马酸比索洛尔控制血压,血压控制良好。曾经确诊过脑梗死,平时口服阿司匹林。
二、治疗经过
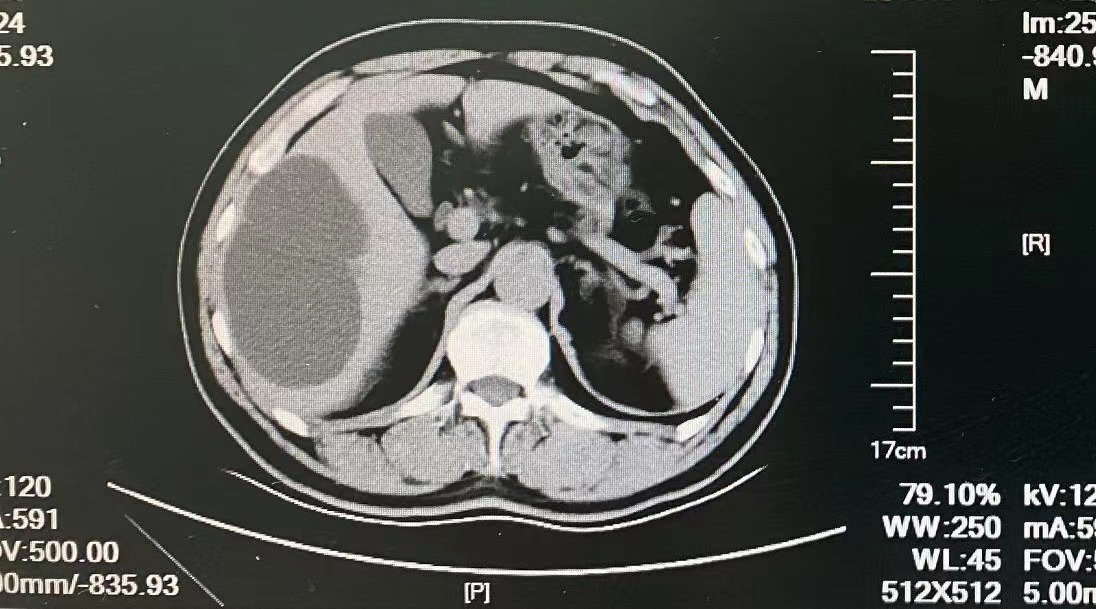
我们首先为患者进行了详细的体格检查,患者腹部平坦、柔软,轻轻按压时、轻放时没有疼痛,肋骨下缘没有触及肝脏、脾脏,其它心脏、肺部、腹部均无明显异常。因此,初步考虑为“肝囊肿”,性质有待进一步确定。为了进一步了解肝脏情况,我们为患者进行上腹部增强CT。相对于彩超,增强CT可以更好鉴别肝囊肿、肝脓肿、肝癌等疾病。通过CT,我们发现患者肝内多发低密度影、不强化,最大者在肝下角,11.3*7.1厘米,这是肝囊肿的表现。从CT结果中,还可以排除患者是寄生虫性(肝棘球蚴病)的可能。
一般而言,肝囊肿治疗费用需视具体情况而定。若囊肿较小、无症状,无需治疗,仅随访过程中产生复查费用。若囊肿较大,则需手术治疗,费用与病变情况、手术医院、手术方法有关。若为单纯性肝囊肿,仅需穿刺或开窗引流,费用较低。若肝囊肿病变较为严重,需行肝移植手术,则费用可达十万、数十万不等。若产生术后并发症或恢复速度较慢,则总体花费也会相应增加。
目前主要是通过微创手术的方法去处理肝囊肿,肝囊肿微创手术,一般采用的方式是开窗术或去顶术,手术相对比较安全,具体收费的费用,需要根据囊肿所在的部位、大小,涉及的手术区域判断。通常情况下,肝囊肿微创手术的总费用,包括住院费、术前检查费、手术费,以及手术后如抗炎、保肝等治疗费用,不同的地区可能有不同的收费标准,大概需要1.5到3万元左右。但如果病人有比较多的慢性疾病合并症,可能花费会有所增加,还有个别病情比较严重的病人,可能还需要进入ICU进行监护,治疗费用也会相应增加。不过手术中需要的材料,一般都在医保范围内,自付费用的比例相对比较低。另外,对于肝囊腺瘤,一般也需要考虑行病灶切除或者规则性肝切除术,总体的花费可能需要1-2万元。对于染色体异常所造成的多发性肝囊肿,晚期可能会造成肝硬化、门静脉高压以及肝功能衰竭,这时需要进行肝移植术,而肝移植术非常昂贵,总体的花费需要50-60万元。
患者目前的情况是囊肿巨大且数量较多。患者担心会出现囊肿继发破裂、出血、感染的现象,所以要求手术。因此,经科室讨论,我们准备为患者施行腹腔镜下肝囊肿开窗引流术。
随后我们为患者完成相关术前检查,包括血常规、肝功能、肾功能、凝血功能、尿液常规、心电图等,并排除手术禁忌症,判断患者符合手术条件,于是择期为患者进行手术。
手术历时一小时顺利完成。对患者完成全身麻醉后,我们通过在脐窝上部、剑突下、右腋前肋缘下做5mm-1cm的3个切口,进行可视操作,穿刺囊肿“开窗”、引流囊内液体,用超声刀切除囊壁,最后在最大的囊腔置入一根引流管。手术后,将切下来的组织送去做病理检查。并给予患者对症支持治疗,为患者静脉输入头孢唑林、雷贝拉唑,预防继发感染和术后胃出血。由于手术当天暂时不能吃饭,因此输入一些营养液、以及糖盐水补充能量、水分。

三、治疗效果
手术切除的组织病理活检结果提示,纤维囊壁组织未见明显被覆上皮,符合肝囊肿。患者手术后腹壁切口处轻微疼痛,切口清洁干燥,无红肿、渗血及渗液等现象。没有发热、腹痛、腹胀、恶心、呕吐,也没有皮肤眼睛发黄、黑便等情况,术后第三天顺利拔除引流管,恢复情况良好。考虑到患者病情平稳,达到出院标准,经患者要求以及上级医师的同意,予以出院,并嘱托定期来院进行复查。
四、注意事项
患者在手术后,右侧肋骨下有一根引流管连接着引流袋,主要是为了充分引流囊腔内液体。在拔管之前,平时卧床或走动时,注意保持引流管和引流袋始终低于肋缘,以免导致液体倒流、继发感染。
患者在出院以后,要按时按量对创口进行换药,并且避免沾水,保持创面清洁干燥,以免感染。平时要注意观察创口有无红肿、渗液等情况。注意合理休息,短期内避免进行重体力活动。饮食上,以清淡为宜,避免高糖、高脂、高蛋白食物,以减轻肝脏负荷。短期内避免劳累和剧烈运动,待痊愈后可以在医生指导下,逐步恢复到正常生活节奏。日常注意观察自身情况,若发生腹胀或腹痛或其他情况,应及时前往医院就诊。此外,要按照医嘱,定时到医院进行复查。
五、个人感悟
肝囊肿是一种常见的良性肝脏疾病,其中先天性囊肿最为常见。本病一般根据囊肿数目分类,肝囊肿可分为单纯性肝囊肿(含单发性和多发性肝囊肿)和多囊性肝病(多囊肝),此外还有一个特殊类型——肝包虫病,即肝包虫囊肿。囊肿一般是圆形或椭圆形的,可能有分隔。囊壁较薄,囊液多为清亮无色或者淡黄色,合并出血时则呈咖啡色,大小差别悬殊,直径几毫米到几十厘米不等。
肝囊肿因生长缓慢,可长期或终身无症状,常在B超检查时偶然发现。当肝囊肿体积不断增大,压迫周边组织时会出现症状,例如出现进食后饱胀、恶心、呕吐、右上腹隐痛等不适,主要表现随囊肿位置、大小、数目、有无压迫邻近器官和有无并发症而异。一般而言,肝囊肿治疗方案需视具体情况而定。若囊肿较小、无症状,无需治疗。若囊肿较大,则需手术治疗。例如这次诊疗中的患者,是单纯性多发性肝囊肿,也没有任何症状,是在常规体检中查出肝囊肿。但患者囊肿体积大,对健康有一定的威胁,患者也有手术的意愿,因此我们为患者施行了手术,使用的是最常见的腹腔镜下肝囊肿开窗引流术,这项手术切口小,创伤小,风险小,患者术后一周就能基本康复。
可能很多人都对手术谈之色变,认为手术可能对身体造成创伤,其次是可能产生高昂的手术费用。对于肝囊肿,目前治疗肝囊肿的主要手段是微创手术,肝囊肿的微创手术通常是开窗术或去顶术,技术已经比较成熟,所以手术相对比较安全。具体的费用要看囊肿的位置、大小和手术部位。一般来说,肝囊肿微创手术的总花费,包括住院费、术前检查费、手术费、术后抗炎、保肝等治疗费用,每个地区的费用都会有所不同,一般在1.5到3万元之间。不过手术中需要的材料,一般都在医保范围内,自付费用的比例也相对比较低。
在日常生活中,我们要对自己的健康负责,定期进行体检,监测自己的身体状况。例如在这次诊疗中的患者,就是在体检中发现有肝囊肿,第一次检查时其实情况不严重,一般不需要治疗。但在第二次体检中,发现自己肝囊肿明显增大,有潜在的风险,所以及时到医院就医。目前,一般常规普通的体检的费用大约在200-300元左右,包括了身高、体重、血压的测量、血常规、肝肾功能的检测以及心电图等常规检查项目。如果加做其他的项目,体检的费用会有所增加,例如腹部B超,或者胸部CT,体检的总费用可能会提高到500元左右。如果加做肿瘤标志物,以及妇科的检查,或者男性的前列腺的检查,体检的总费用可能在1000元左右。一般来说,常规建议40岁以上的人员每年进行一次全身的体检,但是对于体检异常的指标,要定期复查。复查的间隔时间要根据指标的异常程度以及良恶性程度来决定,比如肿瘤的标志物升高,尤其是翻倍升高,包括影像学检查不是特别明确的肿块,建议3个月左右复查一次。如果患有高血压、糖尿病等慢性疾病的人群,建议1-2个月复查一次血压、血糖,每半年复查肝功、肾功、血脂等。如果年龄超过50岁,还要加做一些项目,比如每年或者两年一次的胸部CT。平时在生活中有任何不明原因的不适,也应及时到医院进行检查和治疗。